안녕하세요, 홍가네 머니스토리입니다! 앞니에 틈이 벌어지거나 살짝 깨져서 고민하고 계신가요? 아니면 레진 시술을 했는데 변색이 생겨서 당황하신 적 있나요?
저도 비슷한 고민을 했던 경험이 있어서 오늘은 앞니 레진에 대한 모든 것을 정리해드리려고 합니다.
전문가는 아니지만 앞니 레진 시술의 비용부터 변색 예방 방법, 벌어짐과 깨짐에 따른 레진 시술까지, 제 경험을 바탕으로 속 시원하게 알려드릴게요.
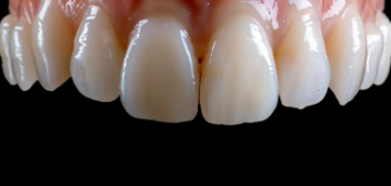
앞니 레진이란? 간단하게 알아봅시다


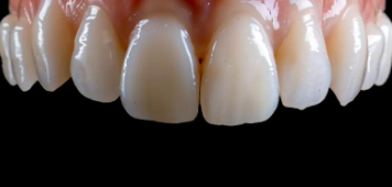
먼저, 앞 니 레진이란 무엇일까요? 앞니 레진은 주로 앞니의 모양이나 기능을 회복하기 위해 사용하는 치료법입니다.
치아에 작은 틈이 있거나 살짝 깨졌을 때 간단하게 메워주는 방법으로, 빠르고 효과적으로 앞니를 원래 상태로 복구할 수 있습니다.
비용도 비교적 저렴하고, 치아 삭제량이 적어서 자연 치아를 최대한 보존할 수 있다는 장점이 있죠.
앞니 레진 시술 비용: 얼마일까요?

앞 니 레진 비용은 여러 요인에 따라 달라집니다. 사용되는 레진의 종류, 치과 의사의 경험, 치과가 위치한 지역 등에 따라 차이가 있을 수 있는데요.
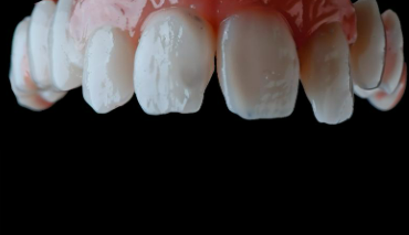
보통 한 개의 앞니당 30만 원에서 100만 원 정도의 비용이 들 수 있습니다. 만약 심미 앞니 레진처럼 미적인 부분까지 세심하게 신경 쓰는 시술이라면, 이 비용이 더 올라갈 수 있죠.
저는 벌어진 앞니 틈새 4개를 메우는데 총 160만 원 정도 들었어요. 조금 더 저렴한 치과도 있지만, 중요한 것은 의사의 숙련도와 레진의 질을 고려해야 한다는 점입니다.
앞니 레진의 단점: 변색과 유지관리
1. 레진이 왜 변색될까요?

레진은 자연 치아와 비슷한 색을 가지고 있지만, 재질의 특성상 시간이 지나면서 색이 변할 가능성이 있습니다.
변색의 주요 원인은 생활 습관과 음식에 있습니다. 커피, 차, 와인, 콜라 등 색소가 많은 음료나 음식들은 치아뿐만 아니라 레진에도 색소를 남기기 쉽습니다.
특히 앞니는 눈에 잘 띄는 부위이기 때문에 조금만 변색되어도 더 두드러져 보일 수 있어요.
또한, 레진 자체의 특성 때문에 자연 치아와 다른 속도로 색이 변할 수 있습니다. 시간이 지나면 레진은 자연 치아보다 빠르게 노랗게 변할 수 있어서, 나중에는 치아와 레진의 색 차이가 더 커질 수 있어요.
2. 변색을 예방하려면 어떻게 해야 할까요?
변색을 막기 위해서는 다음과 같은 간단한 유지 관리 방법을 따라주시면 돼요
2.1 색소가 많은 음식과 음료를 피하기


커피, 차, 와인 같은 음료는 레진에 변색을 일으키는 주범입니다. 마신 후에는 즉시 물로 헹구거나 양치를 하는 습관을 들이면 변색을 줄일 수 있어요.
2.2 정기적인 스케일링

치아 표면에 쌓이는 플라그와 치석은 변색을 가속화시킬 수 있어요. 정기적으로 치과에 방문해 스케일링을 받으면 레진과 치아가 깨끗하게 유지될 수 있습니다.
2.3 화이트닝 치약 사용


미세한 연마 성분이 들어 있는 화이트닝 치약을 사용하면 치아와 레진 표면의 착색을 줄일 수 있습니다.
다만, 너무 자주 사용하면 오히려 치아나 레진에 손상을 줄 수 있으니 주의가 필요해요. 치아를 닦을 때는 빠르게 문지르기보다는 부드럽게 회전하듯이 닦는 것이 좋습니다.
3. 이미 변색된 레진은 어떻게 할까요?
레진이 이미 변색되었다면 해결 방법이 몇 가지 있습니다. 가장 간단한 방법은 레진을 교체하는 것이에요.
레진이 심하게 변색되거나 손상된 경우에는 기존의 레진을 제거하고 새로 시술하는 것이 가장 확실합니다.
또한, 변색이 심하지 않다면, 치과에서 레진 표면을 연마해서 다시 자연스러운 색상을 되찾는 방법도 있어요
이 과정은 간단하며, 치과에서 빠르게 할 수 있기 때문에 큰 비용이나 시간이 들지 않아요.
앞니 벌어짐과 깨짐, 레진으로 해결할 수 있을까요?
레진은 치아에 붙여서 사용하는 재료이기 때문에 시간이 지나면 탈락하거나 깨질 가능성이 있습니다.
치아에 큰 충격이 가해지거나, 딱딱한 음식을 자주 씹으면 레진이 손상될 수 있어요. 치아가 벌어지거나 깨지는 이유는 다양합니다.
1. 앞니 벌어짐

턱뼈 크기에 비해 치아가 작은 경우나 잇몸 질환으로 인해 잇몸이 내려앉으면 앞니 벌어짐을 유발 할 수 있습니다.
또한, 나이가 들면서 자연스럽게 잇몸이 퇴축되어 치아 사이가 넓어져 앞니 벌어짐을 유발 할 수도 있죠.
이런 경우 레진으로 틈새를 메울 수 있지만, 벌어진 틈이 너무 크다면 레진만으로는 완벽한 해결이 어려울 수도 있어요. 그러니 치과에서 정확한 상담을 받아보는 것이 중요합니다.
2. 앞니 깨짐

치아가 살짝 깨졌을 때도 레진을 사용해 복구할 수 있습니다. 깨진 부위가 작을수록 레진으로 깔끔하게 복구할 가능성이 큽니다.
특히 앞니는 법랑질 파절처럼 표면만 살짝 깨진 경우 레진으로 충분히 해결 가능합니다. 그러나 큰 충격으로 인해 치아 깊숙이까지 손상되었다면 다른 치료 방법을 고려해야 할 수도 있습니다.
레진 깨짐을 막는 유지 관리 방법


레진이 깨지지 않도록 잘 관리하려면 딱딱한 음식이나 이로 물어서는 안 될 물건들을 피하는 것이 중요합니다. 예를 들어 얼음을 씹거나 딱딱한 과자를 자주 씹는 것은 레진에 무리를 줄 수 있어요.
또한, 정기적으로 치과를 방문해 레진의 상태를 점검받는 것이 좋습니다. 만약 레진이 조금이라도 떨어지거나 깨진 부분이 있으면 바로 수리할 수 있어요.
저도 레진 시술 후 처음엔 조금 걱정이 됐지만, 꾸준한 관리 덕분에 큰 문제가 없었습니다. 시간이 지나면 변색이 조금씩 생기긴 하지만, 생활 습관을 조정하면 충분히 오랫동안 예쁘게 유지할 수 있어요.

마치며...
앞 니 레진 비용은 가격 측면에서도 부담이 덜하고, 치아의 모양과 기능을 빠르게 복구할 수 있는 좋은 방법입니다.
물론, 변색이나 유지 관리의 어려움 같은 단점도 있지만, 이런 부분을 잘 관리하면 레진의 장점을 충분히 누릴 수 있죠.
저도 직접 시술을 받고 나서 느낀 만족감이 컸기 때문에 앞니 때문에 고민 중이라면 한 번쯤 고려해볼 만한 방법이라고 생각해요.
치아 레진 시술에 대해 더 자세히 알고 싶다면 치과 전문의와 한번 상담하세요. 저는 순수 제 경험만을 말씀드렸기에 편차가 있을 수 있습니다.
혹시 앞니 레진에 대해 궁금한 점이 있으신가요? 또는 다른 경험이 있으시다면 공유해주시면 좋을 것 같아요! 여러분의 의견과 질문을 기다립니다!
홍가네 머니스토리와 함께한 앞니 레진 총정리, 도움이 되셨길 바라며 다음에도 유용한 생활 정보를 들고 찾아올게요!
<꼭 같이 봐야되는 글>
2024 서울시 난자동결 지원사업 총정리- 서울시 난자냉동까지 지원해준다고?
서울시에서 난자동결 지원을 통해 난자 동결 시술을 지원해준다는 사실, 알고 계셨나요? 저출생 문제가 사회적인 이슈로 떠오르면서, 서울시에서는 여성들의 가임력 보존을 위
honganemoneystory.com
며느리발톱이라 불리는 새끼발톱 갈라짐 원인과 예방법 및 치료방법은?
안녕하세요, 여러분! 오늘은 생활 속에서 자주 마주치는 문제, 바로 '며느리발톱'이라 불리는 새끼발톱 갈라짐에 대해 이야기해볼까 합니다. 양말을 신거나 바지를 입을 때, 그 작은 새끼발톱이
honganemoneystory.com
색약테스트 / 색맹테스트 -색약과 색맹 차이점/ 색약 색맹 치료방법들
이번엔 조금 특별한 주제, 바로 '색약과 색맹'에 대해 파헤쳐 보려고 해요. "나 혹시 색약인가?" 하고 의심해본 적 있으신가요? 혹은 "색맹이란 정확히 무엇일까?"라는 호기심이 들어 본 적 있나요
honganemoneystory.com
회충약 복용법 / 구충제 복용법(회충약 종류, 복용법, 효과와 부작용, 복용시기 등)
기생충 감염은 예상외로 우리 일상에 가깝습니다. 특히 반려동물을 기르거나 유기농 채소를 선호하는 현대인에게는 더욱 그렇죠. 이 글에서는 "회충약 복용법 / 구충제 복용법(회충약 종류, 복
honganemoneystory.com
물리치료 가장 저렴하게 받는법 보건소 물리치료 (정형외과 물리치료 비용vs보건소 물리치료 비
안녕하세요, 여러분! 생활정보 블로거로 활동 중인 저는 오늘 물리치료에 관한 꽤나 흥미로운 경험을 공유하려고 합니다. 많은 분들이 물리치료를 필요로 하지만, 비용과 효율성 때문에 고민하
honganemoneystory.com
전립선비대증과 카리토포텐을 활용한 배뇨장애 극복(카리토포텐 가격, 효능, 주의사항 등)
안녕하세요 여러분! 오늘은 전립선비대증에 대해 이야기하려 합니다. 요즘 연말을 달려가면서 많은 술자리가 있을텐데요. 그런와중에도 건강검진을 진행하면서 전립선비대증 진단을 받고 고민
honganemoneystory.com
'사는이야기 > 생활꿀팁' 카테고리의 다른 글
| 나도 티스토리 오블완 챌린지 해볼래! (티스토리 오블완 이벤트, 참여방법, 혜택(경품 등)) (5) | 2024.11.07 |
|---|---|
| 남자 성병 증상 및 STD 검사 비용 총정리 (3) | 2024.10.21 |
| CU편의점 신상 흑백요리사 밤티라미수 후기(나폴리맛피아 티라미수) (9) | 2024.10.20 |
| 2025 주거안정장학금 신청방법(주거장학금 자격요건, 신청서류 등) 총정리 (12) | 2024.10.17 |
| 2024년 보일러 교체 지원금 신청 방법 & 자격 요건 (11) | 2024.10.15 |




댓글